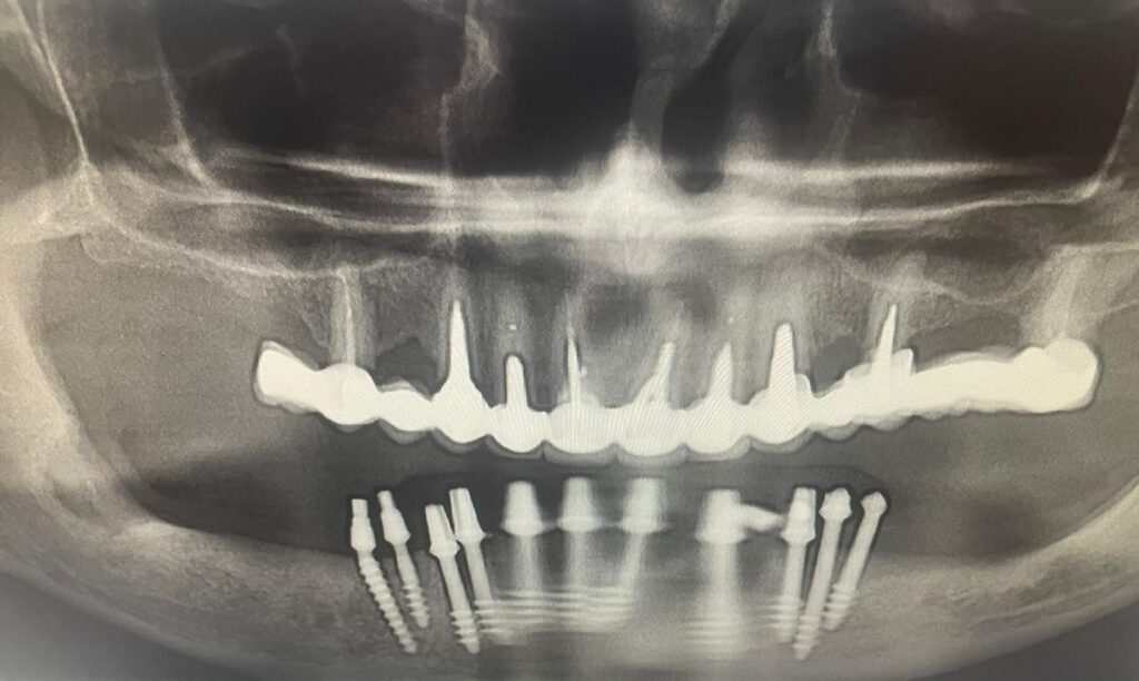
Pacient cu 11 implanturi dentare și lucrare definitivă în 10 zile

Vă prezentăm un caz mai dificil, deoare pacientul nu avea os. Pentru acest pacient am realizat o lucrare cu implanturi dentare în Bacău. Am efectuat 11 implanturi, în 10 zile fiind realizate atât extracțiile, cât și implanturile dentare și lucrarea definitivă. Aveți mai jos o serie de fotografii din timpul lucrărilor, dar și radiografia dentară, rezultatul este o lucrare cu estetică foarte bună.

Aveți nevoie de implanturi dentare și nu vreți să așteptați 6 luni? Pentru informații despre implanturile rapide sunați la  0741.592.000, împreună vom alege cea mai bună soluție pentru zîmbetul vostru. Ne găsiți și pe Facebook sau Instagram.